Bank Street Journal
  • Business
  • Politics
  • World
  • Investing
  • Business
  • Politics
  • World
  • Investing
No Result
View All Result
Bank Street Journal
No Result
View All Result
Home World

Scientists have produced a kangaroo embryo through IVF. It has sparked hope for marsupial conservation

February 6, 2025
in World
Scientists have produced a kangaroo embryo through IVF. It has sparked hope for marsupial conservation
0
SHARES
4
VIEWS
Share on FacebookShare on Twitter

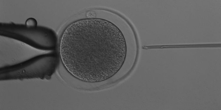
Scientists in Australia have successfully produced the world’s first kangaroo embryo through in vitro fertilization, or IVF, a feat they hailed as a “ground-breaking achievement” that could one day help save endangered species.

The research could be pivotal for Australia’s conservation efforts, given the country’s urgent need to protect its endemic species after having one of the world’s worst extinction records.

Australia has lost at least 33 mammal species since European settlement of the already inhabited continent, according to Australian non-profit Invasive Species Council, a higher rate of extinction than other continent on Earth in recent history.

Scientists at the University of Queensland first assessed how kangaroo eggs and sperm developed in a laboratory, before injecting a single sperm directly into a mature egg, using a technique known as intracytoplasmic sperm injection, the university said Thursday.

Andres Gambini, who led the research into the kangaroo embryo, said the technique could be applied to other animals under the threat of extinction.

“Our ultimate goal is to support the preservation of endangered marsupial species like koalas, Tasmanian devils, northern hairy-nosed wombats and Leadbeater’s possums,” he said, referring to mammals that carry their young in pouches and are an iconic feature of Australia’s unusual fauna.

“Access to marsupial tissues is challenging as they are less studied than domestic animals despite being iconic and integral to Australian biodiversity,” he added.

In 2022, the Australian government announced a 10-year plan to eliminate further extinctions, which included efforts to conserve more than 30% of land mass and protect 110 priority species across the country.

More than 2,200 species and ecosystems in Australia are classified as threatened with extinction, according to a 2023 report by non-profit Australian Conservation Foundation.

This post appeared first on cnn.com

Previous Post

Musk’s posts on UK child sex abuse gangs cast a spotlight on survivors. But he also stoked the fire of the far-right

Next Post

Philippine Vice President Duterte impeached over alleged Marcos assassination plot and other allegations

Next Post
Bangladesh protesters destroy house linked to exiled former leader Hasina

Bangladesh protesters destroy house linked to exiled former leader Hasina

    Stay updated with the latest news, exclusive offers, and special promotions. Sign up now and be the first to know! As a member, you'll receive curated content, insider tips, and invitations to exclusive events. Don't miss out on being part of something special.


    By opting in you agree to receive emails from us and our affiliates. Your information is secure and your privacy is protected.

    Recent News

    Trump’s apocalyptic Iran warning raises stakes for sweeping US strike threat

    Trump’s apocalyptic Iran warning raises stakes for sweeping US strike threat

    April 8, 2026
    Graham eyes ‘down payment’ on Trump-backed SAVE Act without Democratic support

    Graham eyes ‘down payment’ on Trump-backed SAVE Act without Democratic support

    April 8, 2026
    Midterm alarm bells: Democrats face steep favorability deficit despite election gains

    Midterm alarm bells: Democrats face steep favorability deficit despite election gains

    April 8, 2026
    Democrat whose parents fled Iran moves to oust Hegseth

    Democrat whose parents fled Iran moves to oust Hegseth

    April 8, 2026
    Disclaimer: bankstreetjournal.com, its managers, its employees, and assigns (collectively “The Company”) do not make any guarantee or warranty about what is advertised above. Information provided by this website is for research purposes only and should not be considered as personalized financial advice. The Company is not affiliated with, nor does it receive compensation from, any specific security. The Company is not registered or licensed by any governing body in any jurisdiction to give investing advice or provide investment recommendation. Any investments recommended here should be taken into consideration only after consulting with your investment advisor and after reviewing the prospectus or financial statements of the company.

    Popular

    ‘God is good’: Inside the high-risk US mission to save a wounded airman shot down in Iran

    ‘God is good’: Inside the high-risk US mission to save a wounded airman shot down in Iran

    April 7, 2026

    Trump backs off escalation, but Iran war goes on amid ‘productive’ talks

    Trump backs off escalation, but Iran war goes on amid ‘productive’ talks

    March 26, 2026

    Recent News

    Trump’s apocalyptic Iran warning raises stakes for sweeping US strike threat

    Trump’s apocalyptic Iran warning raises stakes for sweeping US strike threat

    April 8, 2026
    Graham eyes ‘down payment’ on Trump-backed SAVE Act without Democratic support

    Graham eyes ‘down payment’ on Trump-backed SAVE Act without Democratic support

    April 8, 2026
    • Privacy Policy
    • Terms & Conditions

    Copyright © 2026 bankstreetjournal.com | All Rights Reserved

    No Result
    View All Result
    • Business
    • Politics
    • World
    • Investing

    Copyright © 2026 bankstreetjournal.com | All Rights Reserved